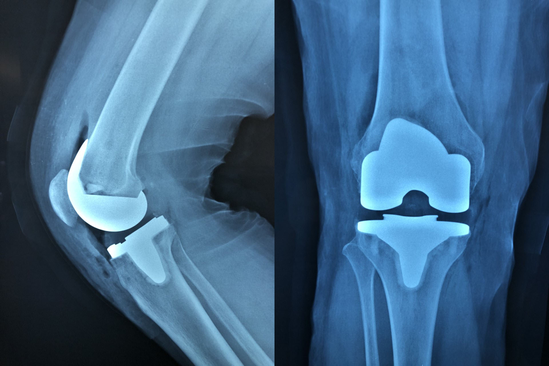
Prótesis de Rodilla

La cirugía de reconstrucción articular es la última opción en el tratamiento en la fase de mayor desgaste del cartílago en la que el dolor es una constante al igual que la limitación de la movilidad de la rodilla.

La tecnología robótica Mako representa un gran avance en la cirugía de prótesis de rodilla. Al proporcionar a los cirujanos información preoperatoria detallada y asistencia durante la cirugía, se logra una mayor precisión en la colocación de la prótesis y en los cortes realizados, lo que se traduce en una mejor calidad de vida para los pacientes y una recuperación más efectiva.