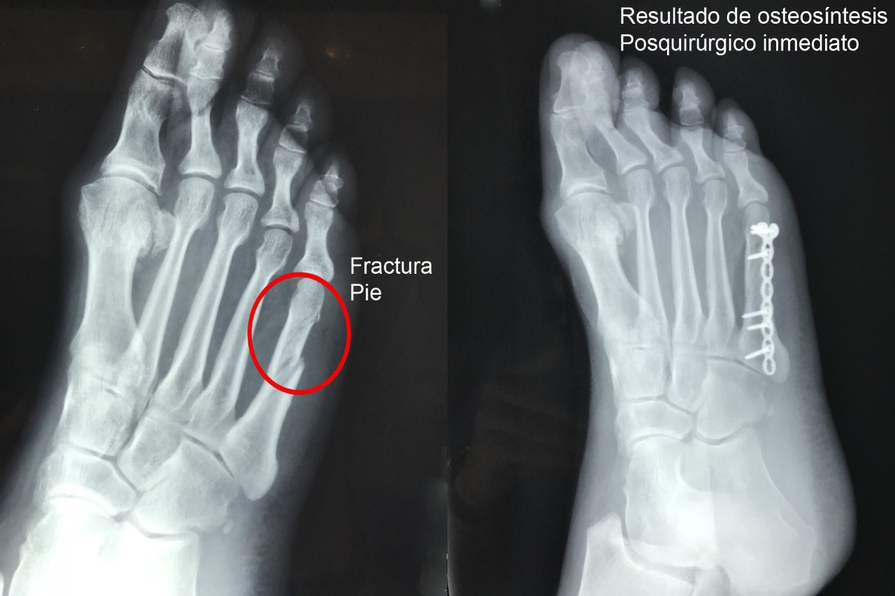
Fracturas

Una fractura ósea es la ruptura de un hueso, la cual puede presentarse por diversas causas y su tratamiento dependerá de la magnitud, sitio anatómico y de las enfermedades concomitantes. Algunas pueden manejarse de forma conservadora con solo inmovilización y hay otras que requieren de un tratamiento quirúrgico. A continuación, podrá ver algunos casos quirúrgicos, dando clic a la zona del cuerpo afectada.